See Our Work
Before & Afters
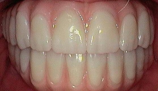
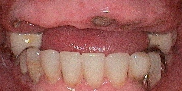
Browse some of our real patient transformations below and see what’s possible for your own smile. We promise the juice is worth the squeeze!

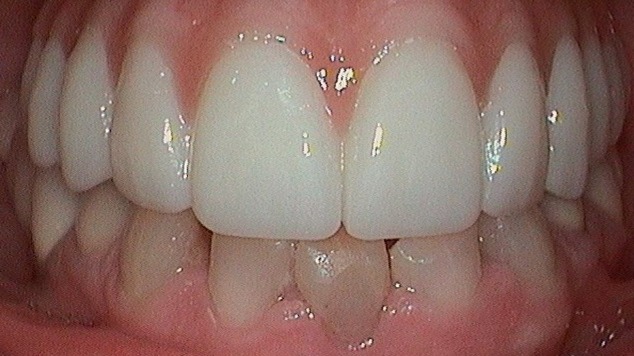
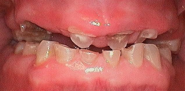
Before

After
Juliann

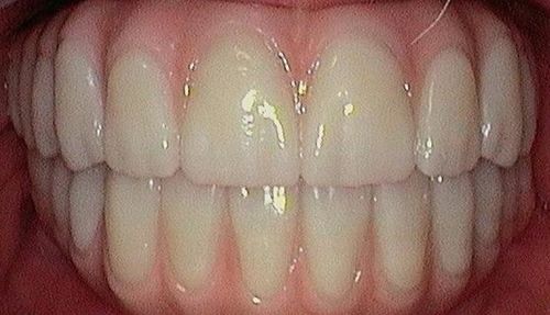
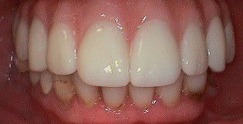
Before

After
Daniel

Before

After
Mylene

Before

After
Mark

Before

After
Kathleen

Before

After
Jeff

